CERVIKÁLNÍ CYTOLOGIE
www.cipek.cz
Detail obrázku
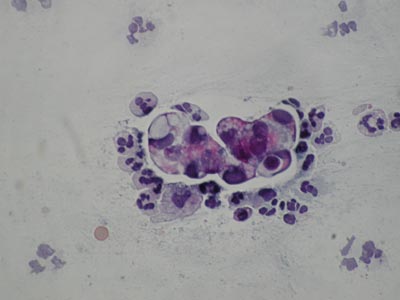
Obr. Adenoca
Agregát maligních buněk s vakuolizovanou cytoplazmou.
Zpět do textu
Zpět do náhledů
|
Úvodní informace
|
Cytologie
|
Zpracování materiálu
|
Kontrola kvality
|
Prognostické faktory
|
Literatura a odkazy
|
Kontakt
Copyright © 2006-2026
Bioptická laboratoř s.r.o.
HLAVNÍ MENU :
PODMENU :
Bethesda
Komentář
PAP vs Mnichov vs Bethesda
Artefakty
Rarity
Galerie
Glandulární léze
Případ měsíce
Titulní stránka