CERVIKÁLNÍ CYTOLOGIE
www.cipek.cz

Bethesda

(Volný překlad 2. vydání.)

Kvalita vzorku

Vyhodnocení technické kvality biologického materiálu doručeného laboratoři mnozí považují za nejdůležitější úkon ovlivňující kvalitu cytologického nálezu. Stěr je buď uspokojivý (s popisem přítomnosti žlázových endocervikálních buněk, leukocytů, menšího množství krve, částečného překrytí buněk a podobně), nebo neuspokojivý. V případě, že je vzorek bez označení, nebo sklo poškozené a nelze dosáhnout nápravu dostatečnou pro mikroskopické vyhodnocení, vypracuje se hlášení v tomto smyslu.

Jiné příčiny pro označení vzorku jako neuspokojivého:

  • překrytí všech buněk hustým hlenem, hnisem, nebo krví
  • nízká celularita stěru
  • nesprávná barevná reakce součástí stěru, která znemožní vizualizaci cytoplazmy a zejména jader buněk. Příčinou často bývá potřísnění podložního skla desinfekčními prostředky přímým postřikem, nebo aerosolem, který takto působí i na vzdálenost několika metrů od místa použití. V případě ručního barvení preparátů je možná i chyba laborantky, nebo použití nevhodných (přeexpirovaných) reagencií.

V takovém případě vzorek může být odečítán s cílem poskytnout v skríningu druhořadé údaje například o přítomnosti mikroorganizmů, endometriálních buňkách u žen nad 40 let atd., které rovněž mají svůj význam pro gynekologa rozhodujícího o další péči pacientky.

Poznámka: Dlouhodobé studie naznačily, že neuspokojivé vzorky častěji pocházejí od rizikových pacientek.

Zvláštní situace:

Absence endocervikálních buněk:

Podle definice Bethesda 2001 tato situace nastává, když ve stěru zaznamenáme přítomnost méně než 10 endocervikálních buněk.

Překrytí buněk:

Když dosahuje 50 - 75%, jde o částečné překrytí, vzorek je uspokojivý. Při překrytí více než 75% buněk bez nálezu dysplastických buněk nebo buněk kategorie ASC-US ve viditelném zbytku buněk, jde o neuspokojivý stěr.

Nenádorové změny

V této části nálezu se dle Bethesda systému 2001 vyjadřujeme:

  1. K přítomnosti organizmů (Trichomonas vaginalis, plísně konzistentní s Candida spp., změna vaginální flóry upozorňující na možnou bakteriální vaginózu - Gardnerella vaginalis, Bakterie morfologicky konzistentní s Aktinomyces spp., celulární změny odpovídající infekci Herpes simplex.
    Poznámka: vzhledem k jednotné interpretaci a nemožnosti ověření jinými metodami se Bethesda systém nevyjadřuje k přítomnosti Chlamydie
  2. (nepovinně) k jiným nenádorovým změnám, kam řadíme:
    Reaktivní buněčné změny spojené se zánětem, ozářením, intrauterinním tělískem
    Stav glandulárních buněk po hysterektomii
    Atrofie
    Další v nálezech specificky nejmenované změny

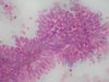
Trichomonas vaginalis (obr. Trich 1,2)


- popis: Mikroorganizmus cca 15 - 30µm, hruškovitého tvaru. Cytoplazma bledě cyanofilní s eozinofilními granulemi. Jádro bledé vezikulární, umístěno excentricky. Bičíky běžně nejsou viditelné. Častá je spolupřítomnost mikroorganizmů typu Leptothrix.

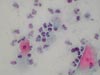
Candida species (obr. CS 1,2)
- popis: Kvasinkové formy cca 3 - 7µm, které mohou podélným pučením vytvářet eozinofilní, nebo hnědešedé pseudohyfy s místy příčného zúžení. Pozadí stěru tvoří fragmenty rozpadajících se leukocytů, dlaždicové buňky se častěji shlukují do válcovitých útvarů někdy s fenoménem "probodnutí" pseudohyfy.

Poznámka: Candida (Torulopsis) glabrata se jeví v podobě pučících kvasinkových forem s jasným "halo". Pseudohyfy nevytváří in vivo ani in vitro.

Změna vaginální flóry upozorňující na možnou bakteriální vaginózu - Gardnerella vaginalis (obr. BV)
- popis: zamlžené pozadí tvoří malé kokobacily při zjevné absenci laktobacilů a jednotlivé dlaždicovité buňky jsou pokryté rovněž kokobacily s výrazným fialovým zabarvením v barvení dle Papanicolaoua.

Bakterie morfologicky konzistentní s Aktinomyces spp. (obr. AS)
- popis: jde o vláknité bakterie uspořádané ve výrazně bazofilních shlucích označovaných jako "woolly body" - klubíčko vlny s jemně filamentózním obvodem.

Celulární změny konzistentní s infekcí Herpes simplex (obr. HS)
- popis: jádra dlaždicových buněk prezentují mnohojadernost a vzájemně k sobě přiléhají po způsobu fazet (nepřekrývají se), mají vzhled matného skla se zdůrazněnou jadernou membránou, nebo také někdy prezentují eozinofilní intranukleární inkluze Cowdryho typu.

Paraziti (Enterobius vermicularis)
- neobvyklým nálezem mohou být vajíčka tohoto parazita obvykle přítomného v tlustém střevě.

Reaktivní buněčné změny (obr. RZ 1,2,3)

  • zvětšení jádra na cca 1,5 až 2 (nebo vyšší) násobek plochy normální intermediální dlaždicové buňky
  • endocervikální buňky mohou prezentovat výraznější zvětšení jádra
  • příležitostná dvoujadernost nebo mnohojadernost
  • jaderná membrána je hladká, oblá, okrouhlá a stejnoměrná
  • jádra mohou být vezikulární nebo hypochromatická, také mírně hyperchromatická, ale v tom případě je chromatin jemně zrnitý a rovnoměrně rozptýlený
  • intranukleárně můžeme zastihnout 1 nebo několik jadérek
  • cytoplazma býva i polychromatická, může obsahovat vakuoly a vytvářet perinukleární "halo", avšak bez periferního ztluštění
  • obdobné změny prezentuje i dlaždicovitá metaplazie. Navíc však nacházíme ostré cytoplazmatické výběžky, které propůjčují buňkám pavoučí (spider) vzhled

Poznámka: buňky jsou polarizované, vyskytují se v jednovrstvových pruzích s ostrými hranicemi cytoplazmatických membrán a typickými mitózami. Solitární buňky nejsou obvyklé.

Reaktivní buněčné změny způsobené ozářením

  • buňky jsou výrazně zvětšené až bizardní, bez podstatnějšího zvýšení poměru jádra a cytoplazmy
  • jsou patrné projevy nukleární degenerace: vyblednutí, zkroucení, zamlžení chromatinu, vakuolizace
  • anizonukleóza, dvoujadernost a mnohojadernost, mírná hyperchromazie
  • přítomnost jednoho nebo více jadérek jako projev reparace
  • polychromazie a/nebo vakuolizace cytoplazmy

Reaktivní změny vyvolané intrauterinním tělískem (obr. RZIUD)

  • přítomnost skupinek žlazových buněk s cytoplazmatickými vakuolami, které mohou odtlačovat jádro často obsahujíci jadérko na periferii buňky
  • ojedinělé buňky s velkým jádrem napodobujícím HSIL, avšak obsahujícím jadérko
  • časté projevy nukleární degenerace: vyblednutí, zkroucení, zamlžení chromatinu, vakuolizace
  • nekonstantní kalcifikace

Přítomnost žlazových buněk po hysterektomii

  • charakterizuje ho nález buněk endocervikálního typu, někdy i pohárkových buněk či mucinózní metaplazie.
  • okrouhlé až kubické buňky mohou připomínat endometriální buňky

Atrofie se zánětem (obr. AZ) nebo bez něj (obr. AbezZ)

  • mírně hyperchromatické buňky parabazálního typu v jednovrstvových útržcích nebo rozptýlené jednotlivě
  • mírně oválná jádra s rovnoměrně rozptýleným chromatinem, se zvětšením na cca 3 až 5 násobek plochy normální intermediální dlaždicové buňky s mírným zvýšením poměru jádra a cytoplazmy
  • mohou se objevit nahá jádra v důsledku autolýzy
  • pozadí může napodobovat obraz nádorové diatézy "tumor diathesis"
  • přítomnost "blue blobs" kulovitého nahromadění bazofilního amorfního materiálu z degenerovaných parabazálních buněk nebo inspisovaného hlenu
  • obraz eozinofilních degenerovaných parabazálních buněk s pyknotickým jádrem podobných "parakeratotickým" buňkám
  • histiocyty různých tvarů a velikostí

Další, v nálezech specificky nejmenované změny

Tubální metaplazie (obr. TM)

  • tvoří skupinky endocervikálních buněk s řasinkami a/nebo terminálním vláknem "terminal bars"
  • jejich jádra mohou být kulaté až oválné, pleiomorfní a často hyperchrómní, s rovnoměrně rozptýleným chromatinem, bez jadérek, někdy se zvýšeným poměrem jádra a cytoplazmy, která může obsahovat malé vakuoly anebo změny typické pro pohárkové buňky

Keratotické buněčné změny ("typical parakeratosis") (obr. TP)

  • výrazně eozinofilní superficiální buňky uspořádané jednotlivě nebo ve skupinách vírovitých či proužkovitých, s pyknotickým jádrem

Keratotické buněčné změny ("hyperkeratosis") (obr. HK)

  • zralá superficiální dlaždicová buňka bez jádra po kterém zůstává prázdný prostor "ghost nuclei". V cytoplazmě bývají keratohyalínové granule.

Lymfocytová (folikulární) cervicitída (obr. FC)

  • ve stěru jsou přítomné početné polymorfní lymfocyty spolu nebo bez přítomnosti makrofágů s tinkčními tělísky v cytoplazmě

Endometriální buňky (obr. EM)

  • zjevují se v podobě třírozměrných kulovitých shluků, jen zřídka jednotlivě
  • překrývající se jádra jsou přibližně stejně veliká jako u normálních intermediálních buněk
  • chromatin se špatně hodnotí, jadérka jsou nevýrazná
  • cytoplazma je nemnohá, bazofilní, může být vakuolizovaná
  • hranice buněk jsou neostré
  • v první polovině menstruačního cyklu můžeme pozorovat shluky buněk s dvojitou konturou = exodus

Poznámka: Přítomnost endometriálních buněk hlásíme v nálezu jenom u žen nad 40 let.

Obr. Trich
Obr. Trich 1,2
Obr. CS
Obr. CS 1,2
Obr. Torulopsis
Obr. Torulopsis
Obr. BV
Obr. BV
Obr. AS
Obr. AS
Obr. HS
Obr. HS
Obr. RZ
Obr. RZ 1,2,3
Obr. RZIUD
Obr. RZIUD
Obr. AZ
Obr. AZ
Obr. AbezZ
Obr. AbezZ
Obr. TM
Obr. TM
Obr. TP
Obr. TP
Obr. HK
Obr. HK
Obr. FC
Obr. FC
Obr. EM
Obr. EM

Abnormality epiteliálních buněk

ASC (atypical squamou cells) - atypické dlaždicové buňky (obr. ASC)

ASC označuje cytologické změny připomínající dysplázii, které co do množství nebo kvality jejím parametrům plně nedostojí.

Znaky které jej charakterizují:

  • dlaždicově buněčná diferenciace
  • zvýšení poměru velikosti jádra k cytoplazmě
  • parakeratóza cytoplazmy
  • minimální hyperchromázie se shlukováním chromatimu, nepravidelnost a zamlžení jádra, nebo mnohojadernost

LSIL (low grade squamous intraepithelial lesion) - dysplázie nízkého stupně (obr. LSIL1,2,3,4)

  • změny jsou přítomné ve velkých buňkách superficiálního typu, které tvoří souvislé pruhy, nebo se vyskytují jednotlivě
  • jádra jsou zvětšená na více než 3 násobek plochy jádra intermediální buňky
  • poměr jádra a cytoplazmy je mírně zvýšený
  • různé tvary jádra a hyperchromazie různého stupně
  • častá dvoujadernost a vícejadernost
  • chromatin je rovnoměrně rozptýlený avšak hrubě zrnitý
  • jadérka jsou nepřítomná nebo nenápadná
  • jaderná membrána bývá mírně nepravidelná, ale může být i hladká
  • buňky mají ostré hranice
  • cytoplazma může být "keratinizovaná" (výrazně eozinofilní), nebo prezentuje obraz koilocytózy: nukleární abnormality popsané výše s perinukleární dutinkou ostře ohraničenou od husté cytoplazmy na periferii buňky

HSIL (high grade squamous intraepithelial lesion) - dysplázie vysokého stupně (obr. HSIL1,2,3,4)

  • změny jsou přítomné v menších "méně zralých" buňkách oproti změnám typu LSIL v solitárním, pruhovitém nebo syncytiálním uspořádání
  • jádra jsou hyperchromatické, různého tvaru a velikosti
  • chromatin bývá rovnoměrně rozptýlený, jemně nebo hrubě zrnitý
  • jaderná membrána je výrazně nepravidelných obrysů se zářezy
  • jadérka v jádrech nejsou přítomná kromě situace, kdy dysplastická změna zasahuje epitel endocervikální žlázky
  • cytoplazma může mít různé charakteristiky: 1. "nezralá", jen v podobě tenkého jemně se barvícího proužku kolem jádra, 2. "metaplastická", výrazně bazofilní, bohatší, 3. občas dokonce "zralá", výrazně eozinofilní - keratotická.
Obr. ASC
Obr. ASC
Obr. HSIL 1,2,3,4
Obr. HSIL 1,2,3,4
Obr. LSIL 1,2,3,4
Obr. LSIL 1,2,3,4

Abnormality žlázových epiteliálních buněk

Atypické endocervikální buňky - definice

Jsou charakterizovány nukleárními atypiemi, rozsahem přesahujícím změny reaktivní / reparativní, ale nepostačujícími pro splnění kriterií endocervikálního adenokarcinomu.

Endocervikální buňky, blíže nespecifikované

Kritéria

  • buňky hustě uložené v pruzích s částečným překrýváním jader
  • možné je 3 až 5 násobné zvětšení jader
  • mírná hyperchromázie, variabilita velikosti a tvaru jader
  • jadérka mohou být patrná
  • mitózy jsou vzácné
  • cytoplazma je relativně hojná, ale poměr jádra a cytoplazmy je zvýšený
  • ohraničení buněk je často rozeznatelné

Endocervikální buňky, pravděpodobně neoplastického původu

Morfologie buněk téměř splňuje kvalitativní a kvantitativní kriteria pro endocervikální adenokarcinom - definice

Kritéria

  • buňky hustě uložené v pruzích s částečným překrýváním jader
  • některé buňky sporadicky vytvářejí rozety a fenomén "feathering"
  • jádra jsou zvětšená s mírnou hyperchromazií
  • ojediněle pozorujeme mitózy
  • poměr jádra a cytoplazmy je zvýšený, cytoplazmy je méně a hranice buněk mohou být nejasné

Endometriální buňky, blíže nespecifikované

Kritéria

  • buňky vytvářejí malé skupinky v počtu 5 až 10
  • ve srovnání s normálními endometriálními buňkami jsou jádra mírně zvětšená, mohou být mírně hyperchromatická
  • je možná přítomnost jadérek
  • cytoplazma je neobjemná, může být vakuolizovaná
  • hranice buněk jsou nejasné

Endocervikální adenokarcinom in situ

Endocervikální žlázová léze s výraznými atypiemi charakterizovaná zvětšením a stratifikací jader, hyperchromazií a mitotickou aktivitou bez znaků invaze - definice

Kritéria

  • buňky hustě uložené v pruzích, shlucích a rozetách, s částečným překrýváním jader. Samostatné abnormální buňky jsou neobvyklé.
  • některé buňky mají cylindrický vzhled
  • buněčné shluky vytvářejí na periferii fenomén palisádování s vyčníváním jaderných a cytoplazmatických výběžků (feathering)
  • jádra jsou zvětšená, různě velká, oválná nebo prodloužená a stratifikovaná
  • typická je mírná hyperchromázie s rovnoměrně rozptýleným, hrubě zrnitým chromatinem
  • jadérka obvykle bývají nenápadná, malá
  • časté jsou mitózy a apoptotická tělíska
  • poměr jádra a cytoplazmy je zvýšený, cytoplazmy je méně, rovněž ubývá mucínu
  • "pozadí" je "čisté" (bez zánětu a tumorové diatézy)
  • v případě koexistence dlaždicově buněčné léze mohou být přítomné abnormální dlaždicovité buňky

Endocervikální adenokarcinom (obr. EndocervixCA)

Cytologická kriteria se shodují s kritérii pro endocervikální adenokarcinom in situ, ale mohou zahrnovat i projevy invaze

Kritéria

  • početné abnormální buňky, typicky cylindrického tvaru uspořádány v dvourozměrných pruzích, třírozměrných shlucích, agregátech syncycia i jednotlivě
  • jádra jsou zvětšená, pleiomorfní, s nepravidelně rozloženým chromatinem a nepravidelnostmi jaderné membrány
  • mohou být přítomna velká jadérka
  • cytoplazma je obvykle jemně vakuolizovaná
  • přípustné jsou projevy tumorové diatézy
  • v případě koexistence dlaždicově buněčné léze nebo adenokarcinomu s částečnou dlaždicobuněčnou diferenciací mohou být přítomné abnormální dlaždicovité buňky

Endometriální adenokarcinom (obr. Adenoca)

  • buňky se objevují jednotlivě nebo v malých hutných shlucích
  • podle stupně diferenciace mohou být jádra nezvětšená u dobře diferencovaných nádorů, nebo zvětšená při nižším stupni diferenciace
  • je zjevná ztráta jaderné polarity a variabilita velikosti jader
  • pozorujeme středně výraznou hyperchromazii, nepravidelné rozložení chromatinu, "parachromatin clearing" zejména u nízce diferencovaných tumorů
  • jadérka mohou být podle stupně diferenciace nádoru malá u dobře diferencovaných nádorů, nebo zvětšená při nižším stupni diferenciace
  • cytoplazma je obvykle nemnohá, cyanofilní, vakuolizovaná, často s přítomností neutrofilů
  • může být přítomna jemně zrnitá / "vodnatá" tumorová diatéza

Extrauterinní adenokarcinom

Zvažujeme tehdy, jestliže buňky jinak typické pro adenokarcinom jsou přítomné v asociaci s "čistým pozadím" anebo neobvyklými strukturami. Nejčastěji se jedná o papilární struktury a psamomatózní tělíska při karcinomu ovárií. Jestliže je přítomná tumorová diatéza, poukazuje na možnost metastázy z jiného orgánu.

Obr. EndocervixCA
Obr. EndocervixCA
Obr. Adenoca
Obr. Adenoca

Neobvyklé primární tumory čípku a těla děložního

Vřetenovitý dlaždicobuněčný karcinom

Je charakterizovaný pleiomorfními vřetenitými nekeratinizovanými buňkami s vysokou mitotickou aktivitou.

Nízce diferencovaný dlaždicobuněčný karcinom s malými buňkami

Připomíná těžkou dysplázii nebo také malobuněčný nediferencovaný karcinom.

Buňky mívají více denznější cytoplazmy, lépe vyjádřené hranice a méně artefaktů ze zhmoždění.

Malobuněčný "ovískovitý" nediferencovaný karcinom (neuroendokrinní karcinom, grade III)

Jde o vzácný, velice agresivní nádor.

Jádra jsou "molding" uspořádány jednotlivě nebo ve skupinách. Typický je artefakt ze zhmoždění a tumorová diatéza pozadí. Imunohistochemicky pozitivita NSE, Chromograninu a synaptofyzínu.

Neobvyklá oproti jiným místům výskytu je asociace s infekcí HPV 18.

Karcinoid (neuroendokrinní karcinom, grade I)

Má vysoký poměr jádra a cytoplazmy. Podobá se malobuněčnému nediferencovanému karcinomu, ale chybí mu "molding" jader. I adenokarcinom může nabývat cytologické rysy karcinoidu.

Maligní smíšený mezodermální tumor / Karcinosarkom

Jde o vzácný, velice agresivní nádor.

Vzniká v endometriu a může se jako houbovitá hmota šířit do čípku dělohy. Jeví se jako bifazický tumor s maligní epiteliální i mezenchymální komponentou. Nejnovější studie ukazují, že je racionální uvažovat o tomto nádoru jako o karcinomu.

Sarkomy

Primární sarkomy ženského genitálu jsou vzácné. Nejčastěji vznikají v těle dělohy.

Cytologicky je charakterizují nediferencované, pleiomorfní, mnohojaderné a/nebo bizardní buňky.

Jiné primární nádory

Patří sem tumory ze zárodečných buněk (choriokarcinom, nádor se žloutkového váčku a teratomy). Raritně i leukemie / lymfom a maligní melanom.

Sekundární nebo metastatické tumory

Extrauterinní karcinomy

Extrauterinní karcinomy se mohou šířit nebo být přítomné v čípku dělohy:

  1. Jako důsledek přímého šíření primárního tumoru pánve s origem v endometriu (rozpor s úvodem odstavce – pozn. překladatele), močovém měchýři a rektu.
  2. Méně časté je hematogenní nebo lymfogénní metastazování nádoru gastrointestinálního traktu, ovária, či prsu.
  3. Odloučené buňky tumoru vejcovodu, nebo z maligního ascitu mohou putovat skrz vejcovod a dutinu dělohy až do čípku.

Většina těchto pacientů má pozitivní onkologickou anamnézu. Jen raritně bývá postižení cervixu první manifestací nemoci.

Metastázu možno rozeznat dle specifických cytologických rysů nebo tak, že buňky se zdají být „cizími“. Pozadí je většinou čisté. Nádorová diatéza není přítomná, kromě případů přímého šíření nádoru s destrukcí původní tkáně. Nádor s přechodních buněk může prezentovat intraepiteliální způsob šíření ve vagině, a může být zaměněn za dysplastickou lézi nebo dlaždicobuněčný karcinom.

Maligní melanom

5 až 10% maligních melanomů vzniká ve vulvě či vagíně. Primární cervikální melanom je mimořádně vzácný, metastazování do čípku je relativně častější. Cytologická charakteristika buněk melanomu není odlišná od jiných lokalit. Jde o disociované buňky okrouhlého, oválného nebo vřetenovitého tvaru s velkými jádry, s výraznými jadérky, někdy s intranukleárními pseudoinkluzemi a melaninovým pigmentem v cytoplazmě. Diferenciální diagnóza obsahuje početnou skupinu špatně diferencovaných zhoubných nádorů. Nápomocné je imunohistochemické barvení S-100, HMB 45, Melan A.

Maligní lymfom

Může zřídka postihnout i čípek dělohy primárně nebo v rámci diseminace nemoci. Buňky jsou disociované, často s projevy jádrových abnormalit (nepravidelnosti jaderné membrány, hrubozrnný nerovnoměrně rozložený chromatin). Abnormální lymfoidní populace je obecně monomorfnější v porovnání s reaktivním chronickým zánětlivým procesem. Specifická morfologie závisí na typu lymfomu. Diferenciální diagnóza zahrnuje chronickou / folikulární (lymfocytickou) cervicitídu a nediferencovaný karcinom z malých buněk. Odběr vzorku do tekuté fáze umožňuje imunohistochemické vyšetření a identifikaci monoklonální lymfoidní populace.




Cervikální cytologie - Titulní stránka
Cervikální cytologie - Cytologie