CERVIKÁLNÍ CYTOLOGIE
www.cipek.cz

Detail obrázku

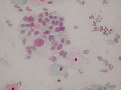
Obr. HSIL 1
Skupina 8 buněk typu HSIL v dolní části vlevo od střední linie, rovněž další 2 buňky typu HSIL nahoře ve srovnání ke 3 eozinofilním superficiálním buňkám s malými jádry v pravé části obrázku. V okolí jsou přítomny početné neutrofilní leukocyty.
HSIL1

Zpět do textu

Zpět do náhledů

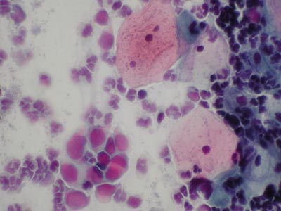
Obr. HSIL 2
Spolu snad 16 tmavých cyanofilních velkých nestejných nahých jader typu HSIL v porovnání k malému jádru superficiální buňky v pravém horním rohu obrázku.
HSIL2

Zpět do textu

Zpět do náhledů

Obr. HSIL 3
Centrálně skupina buněk s velkými nestejnými jádry a vysokým nukleocytoplazmatickým poměrem. V dolní části k porovnání 2 superficiální buňky.
HSIL3

Zpět do textu

Zpět do náhledů

Obr. HSIL 4
Epitelové buňky s dysplazií vysokého stupně v porovnání se 7 normálními povrchovými buňkami s malými jádry.
HSIL4

Zpět do textu

Zpět do náhledů




Cervikální cytologie - Titulní stránka
Cervikální cytologie - Cytologie